病人因为呼吸困难住院。找心血管会诊,诊断一般是心衰,治疗是利尿剂静脉注射或者滴注。找肺脏科医生会诊,诊断一般是肺炎,治疗就是抗菌素。
肺炎一般是指细菌性肺炎,症状是咳嗽咳痰痰液带颜色,发烧也许加发冷,可能还有呼吸困难。胸片一般是絮状浸润。
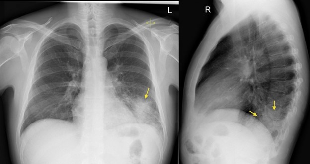
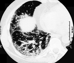
隐源性机化性肺炎(Crytogenic organizing pneumonia COP),是病因不明的肺间质炎症和纤维增生,向肺泡蔓延,导致肺泡逐渐填满蛋白质、成纤维细胞和纤维。症状是干咳、呼吸困难、发烧、全身不舒服。CT可以发现弥漫性实变、玻璃样浸润、弥漫性纤维化。与其它疾病如癌症、结缔组织病相关的,叫继发性机化性肺炎(Secondary organizing pneumonia)。究竟什么引发了这些病理改变不清楚。和其它原因不明的间质性肺炎不同,机化性肺炎肺脏的结构没有被破坏,及时治疗肺脏可能恢复正常。
治疗:轻症病人Prednisone 1 mg/kg。 重症病人大剂量皮质激素:甲基强的松龙(Methylprednisolone)125 to 250 mg 静脉注射每6小时一次,或者750-1000 mg 每天一次,疗程3-5天。
病人男、80多岁性。过去史:高血压、糖尿病、结肠癌。几个月前作了手术。以后一直化疗。 一天病人去作肠镜,胃肠道医生发现他氧饱和度低,没做肠镜,把他送到急诊室。 收入院,诊断是低氧血症,急性呼吸衰竭,间质性肺炎。 治疗就是上抗菌素。先是Rocephin/Zithromax, 治疗肺炎最常用的抗菌素。然后换成大炮级抗菌素 Cefepime, 然后又换成另一个大炮级抗菌素 Zosyn。 治疗了9天,最初需要2 L 氧气,逐渐上升到45 L。第九天,肺科医生上皮质激素,甲基强的松龙60毫克静脉注射,每天两次。
第12天我接手,只管一天,代别人班。读完逐日志,发现肺科医生计划当天把甲基强的松龙降到40毫克静脉注射,每天两次。查完房,回头再把记录、化验、药物、氧气需要量读了一遍, 把CT翻来覆去看了两遍。 我认为这个病人是COP。 肺科医生上了皮质激素,是正确的措施。 但是剂量不够大,更不应该现在就减量。
皮质激素有副作用,应该尽量减少服用时间,减少剂量。 但是减量应该是见效以后,病人稳定后才开始。而且一旦病情反复,得把剂量恢复到原来水平。 这个病人还没有看到一点效果就减量,矫枉过正。 不知道为什么,肺科医生总是有这个习惯。他们对激素副作用的担心,超过对疾病的担心。
我把甲基强的松龙剂量增加到120毫克静脉注射,每天两次。 下完医嘱,回去和病人交流。因为早晨查房时,我许诺要仔细研究他的病情。他女儿也在病房,说60毫克剂量已经够高了,为什么要增加到120 毫克。 我说: UPTODATE 推荐的是120-240毫克每天四次,我用的剂量是低的。 他女儿又说:要先找他的肿瘤科医生会诊,听肿瘤科医生的意见。
我想,你要找肿瘤科医生会诊,也许就再也没有恢复的机会了。回答道: 行,我可以找肿瘤科会诊,现在不增加剂量。
这时候,病人开口道:不需要找肿瘤科会诊,听清医生的。
回到办公室,肺科医生找上门来,说:他正准备减少剂量。问我是不是不要增加剂量。我解释了一下病人的诊断,低氧血症的可能原因。又告诉他UPTODATE 的推荐剂量。 肺科医生说:从明天开始,他的精力都集中在ICU病人身上,没有时间管病房的病人。 他的意思是说他放弃这个病人,让我管。 这样好,我从来就不想其它科医生插手。但是大部分医生来了就不走。有时候我要求他们放弃,他们也不走。这个肺科医生不管正好。
第二天我就不管这个病人。给管病人的同事发了个短信,希望他继续用同样的剂量。同事继续用了3天,氧气需要量下降道20 L。同事把剂量降到60毫克。以后病人氧气需要量继续下降,皮质激素剂量也逐渐减少。20 天后,病人不再需要氧气,出院。
在美国,我遇到4-5个怀疑是隐源性机化性肺炎的病人,2个没有其他科医生插手的病人活下来,另外有呼吸科心血管医生共管的病人都死亡。

